― Über mich
Ich bin Zahnarzt (Abschluss 2022) mit klinischer Erfahrung und einem besonderen Interesse an Kieferorthopädie und Aligner-Therapie. Derzeit arbeite ich bei Impress, einem internationalen Anbieter, der auf Invisalign- und Aligner-Behandlungen spezialisiert ist. Parallel bereite ich mich in Deutschland auf die Approbation vor. Mein langfristiges Ziel ist es, mich in diesem Fachgebiet weiter zu spezialisieren und zur hochwertigen Versorgung von Patientinnen und Patienten beizutragen.
(+49) 1774223453
Deutschland, Gelsenkirchen,
Libanesisch
01/Sep/1998






― Berufserfahrung
― Zertifikate & Fortbildungen
Libanesische Universität
Zahnmedizinisches Studium (Universitätsabschluss)
Beirut, Libanon – Abschluss 2022
― Sprachkenntnisse
Arabisch: Muttersprache
Deutsch: B2 Allgemein, C1 Medizinische Fachsprache
Englisch: Fließend in Wort und Schrift
- ZAHNARZT – BELLA DENTAL CLINIC - VOLLZEIT
LIBANON | 08/2023 – 11/2024
ZAHNARZT – BELLA DENTAL CLINIC - VOLLZEIT
Setzen von Implantaten (insgesamt über 10 Implantate unter Supervision platziert)
Entfernung von Weisheitszähnen, einschließlich teilretinierter und vollretinierter Zähne
Assistenz und Durchführung bei Knochenaufbau (Bone Substitution), Sinuslift (extern/intern)
Chirurgische Versorgung im Frontzahnbereich mit Fokus auf Ästhetik und Funktion
Postoperative Kontrolle und Nachsorge chirurgischer Patienten
- DR. BILAL IMAD HAMAD DENTAL CLINIC - TEILZEIT
LIBANON | 10/2023 – 09/2024
Kronen- und Brückenversorgung, Inlays/Onlays
Wurzelkanalbehandlungen nach modernen endodontischen Standards
Chirurgische Eingriffe, inklusive Extraktionen und kleiner oralchirurgischer Maßnahmen
Individuelle Behandlungsplanung unter funktionellen und ästhetischen Aspekten
Patientenaufklärung und Nachsorge für Kinder und Erwachsene
- Teamleiter (Teilzeit) – LBSouk
LIBANON | 08/2021 – 07/2025
Teamleiter eines 5-köpfigen Teams (Teilzeit)
Zuständig für Koordination, Motivation und Aufgabenverteilung
Gestärkte Fähigkeiten in Teamarbeit, Organisation und Führung
- Zahnmedizinische Fachangestellte (ZFA) – Impress
Deutschland, Düsseldorf und Köln | 07/2025 – heute
Vollständige Sterilisation der Instrumente und Materialien (A–Z) einschließlich Validierung und Vorbereitung
Empfang und Betreuung der Patientinnen und Patienten von der Anmeldung bis zum Abschluss der Behandlung
Anfertigung von intraoralen und extraoralen Fotos
Durchführung von Panoramaschichtaufnahmen (Röntgen)
Digitale intraorale Scans für Aligner- und andere Behandlungen
Teamkommunikation über digitale Tools: Google Chat, Google Meet, Google Drive
Praxismanagement über Software: Hubspot, Kalanderic
Zahnärztliche Fotografie – Kurs
Beirut, Libanon – Abschluss 2023
Grundlagen der zahnärztlichen Fotografie, inklusive Aufnahme von Intra- und Extraoral-Fotos, Bildkomposition, Beleuchtungstechniken und Bilddokumentation für die klinische Praxis.
Grundkurs Implantologie
Libanesische Zahnärztekammer, Weiterbildungszentrum Implantologie
Beirut, Libanon – Abschluss 2024
Ein Einsteigerkurs in Implantologie, der die Grundlagen der Implantatplanung, chirurgischen Techniken und postoperativen Versorgung vermittelt.
Praxisgründung & Management
Just DENT it GmbH, Köln, Deutschland – 2025
11 Fortbildungspunkte: Anerkannt nach den Richtlinien der BZÄK und DGZMK.
Praxissteuerung: Vertiefung in Praxissoftware, Abrechnungssysteme und effiziente Lagerhaltung.
Wirtschaft & Recht: Intensiver Fokus auf Praxisfinanzierung, Arbeitsrecht und rechtssichere Verfahrensdokumentation.
Team & Führung: Strategien für erfolgreiches Onboarding, Praxismarketing und moderne Teamführung.
Entrepreneurship: Mindset Shift von der Anstellung in das zahnärztliche Unternehmertum.
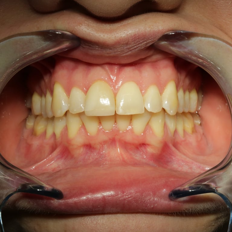
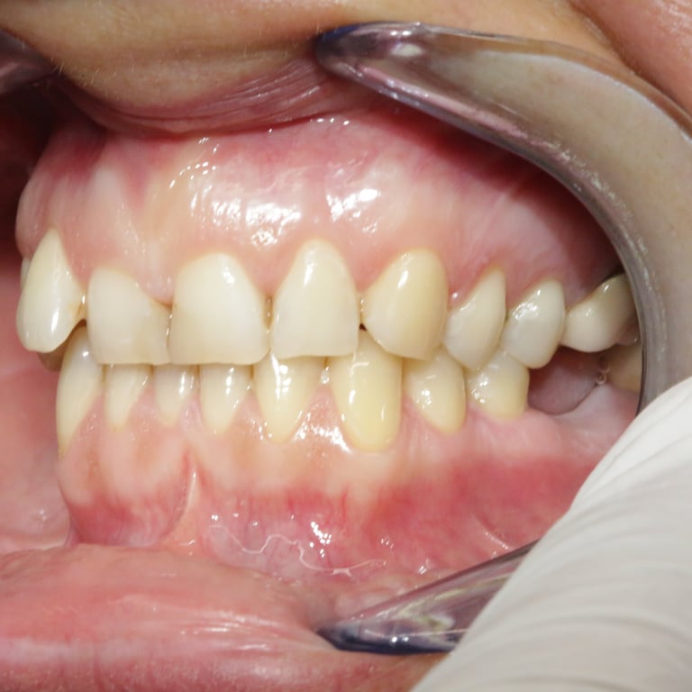
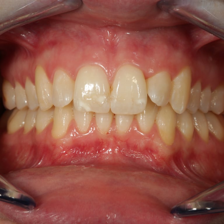
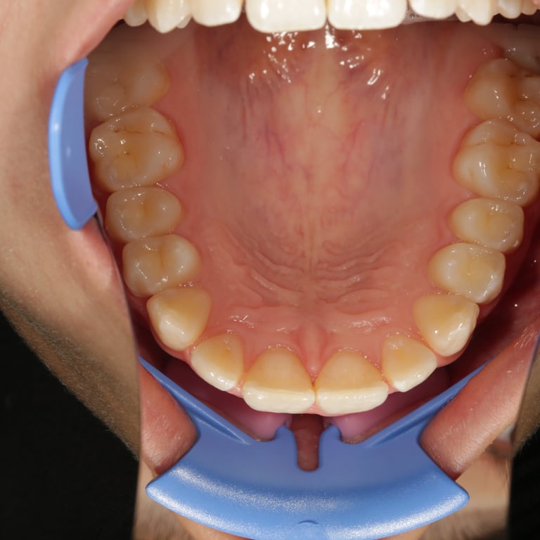
Dentale Fotografie
Auswahl klinischer Fotografien zur Dokumentation zahnmedizinischer Fälle.
“Mit jedem Aligner Schritt entsteht ein neues, selbstbewusstes Lächeln.”
Berufliches Ziel
Mein Ziel ist es, mich langfristig im Bereich der Kieferorthopädie zu spezialisieren und meine Kenntnisse sowohl praktisch als auch wissenschaftlich zu vertiefen. Besonders interessiert mich die Verbindung von moderner digitaler Technologie mit einer patientenorientierten Behandlung.
Ein wichtiger nächster Schritt auf meinem Weg ist der Erwerb eines Masterabschlusses in Kieferorthopädie in Deutschland, um meine Qualifikation auf höchstem Niveau weiterzuentwickeln.
Kontakt aufnehmen
+49 177422 3453
Contact@amjadchaaban.com

